科普|大头娃娃有点愁人,宝宝的脑子“进水了”该怎么办?

文章正文
发布时间:2024-06-24 12:49

8月龄的多多,是个头有点大的男娃娃。出生的时候他的头就比同龄宝宝大一些,不过家里的老人一点不在意,还非常开心,总是把“头大好呀,聪明呀”挂在嘴边,“你们看看电视上那个大头儿子多聪明呀”。随着月龄增大,家里人开始觉得不对劲了,多多的头围长得快,而且抬头也抬得不好,总是一抬头很快就耷拉下来,也不会翻身,坐不住,最近看东西眼神也不好,还老向下翻白眼。多多妈妈着急了,这该不会有什么问题吧?赶紧抱着多多去了最近的儿童医院看神经外科。医生给多多做了仔细的体格检查,同时做了头颅CT,最后诊断是:先天性脑积水(重度)。看着一脸茫然的妈妈,医生便耐心做起了科普宣传。今天,就让小儿神经外科医生带大家了解一下儿童脑积水吧。

什么是脑积水?

脑积水,并不是说外面的水进入到脑子里面,而是指脑子里面产生的“水”,即脑脊液,积聚的太多了,导致脑室扩张,并常伴有脑内压力的增高,从而产生一些异于同龄正常儿童的表现。

正常脑室与脑积水示意图

为什么会发生脑积水?

正常情况下,脑内是会储存少量的脑脊液,对中枢神经系统起到缓冲、保护、营养、运输代谢产物以及维持正常颅内压力的作用。脑脊液是处于不断的产生、循环和回流的平衡状态,但是当这个平衡被打破时,脑脊液的产生超过了脑子自己本身能够吸收的量,那么脑脊液就可能会积聚太多,从而引起脑积水。根据病因,儿童脑积水可以分为先天性脑积水和继发性脑积水(后天性)。

脑脊液产生与吸收不平衡时会发生脑积水

脑积水的宝宝会有哪些表现呢?

脑积水的表现主要取决于发病时间(相对于颅缝闭合的时间)、颅内压增高的速度及持续时间以及是否伴有相关的结构异常。

1. 婴儿和儿童轻度脑积水可能没有症状,通常是偶然检查发现的;

2. 颅缝闭合前的脑积水宝宝:最常见的表现就是头围增大,也就是前面提到的“大头娃娃”,头太大,颈部肌肉比较薄弱,以至于出现抬头不稳或者不能抬头,与同龄宝宝相比,有可能存在发育迟缓,比如说到了该抬头的月份不能抬头、不能翻身、不能坐起、不能站立等等,有些宝宝甚至还会出现发育倒退、行为改变,比如容易激惹等;

3. 年龄较大的儿童:因为颅缝闭合了,少了颅缝和囟门能够缓冲的空间,所以脑积水多的情况下,会出现明显的颅内压增高的表现,包括清晨头痛明显、恶心、呕吐、行走不稳、行为改变等等;

4. 急性脑积水:除了头痛、呕吐,还可能会出现意识状态的改变,包括昏睡、嗜睡等;

5. 外观上的异常:婴幼儿的脑积水比较容易从外观上发现,包括头围增大,头皮静脉很明显、曲张或者显露、囟门张力高、“落日征”(眼睛不能上视,总是下翻,露出眼白部分)等。

怀疑脑积水应该做哪些检查呢?

1. 定期监测头围:如果婴儿在孕期产检有脑室增宽、出生时有头围增大,连续监测头围的测量值总是在标准曲线以上,表明头部生长过度,应怀疑婴儿有脑积水,要做进一步的检查。

2. 颅腔B超:对于新生儿和小婴儿,即前囟还没有闭合的宝宝,可以选择做个颅腔B超,非常便捷,一般不需要镇静。

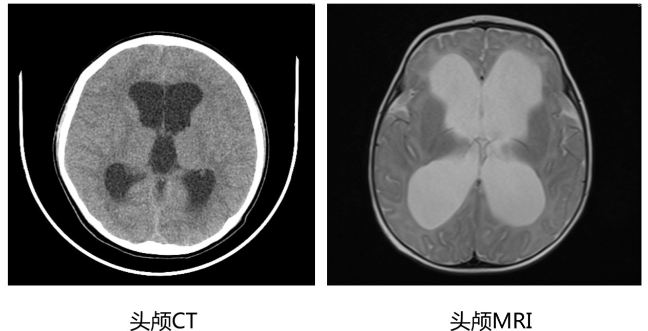
3. 头颅CT或者头颅MRI:对于疑似脑积水的年龄较大的婴儿和儿童,应该进行头颅CT或者头颅MRI检查,除了评估脑积水的程度,还可以发现结构异常或者肿瘤等后天因素。

4. 眼底检查评估视乳头水肿:脑积水引起颅压增高还会导致视乳头水肿、视物不清楚、视力下降等情况,对于脑积水的年龄较大的儿童,可以做眼底检查评估是否存在视乳头水肿,也可以侧面反应脑积水导致颅压增高的情况。

脑积水头颅CT和MRI的影像学表现

脑积水该怎么治疗?

脑积水是否需要治疗,需要专业的小儿神经外科医生评估后来决定方案。

1. 轻度脑积水:有部分宝宝在孕期即发现轻度侧脑室扩张,出生后检查也没有明显的进展,宝宝也没有异常的临床表现,那么就定期随访观察就可以了,一般不会影响宝宝的生长发育;部分年龄大的儿童,偶然间检查发现轻度脑积水,基本也是采取定期随访的方案,如果存在不明原因的头痛或者呕吐,不能认定其与脑积水明确相关,那么进行眼底检查评估是否存在脑积水相关的视乳头水肿,以上均无异常的情况下,这部分儿童也是定期随访就可以了。

2. 中-重度脑积水:对于中-重度的脑积水宝宝,只有一种治疗方案,就是手术治疗。采取什么样的手术治疗方案,需要小儿神经外科医生根据宝宝的年龄、症状以及脑积水的严重程度、病因等方面来选择制定的。手术的目的是进行脑脊液引流,减轻脑积水的程度及其对宝宝脑发育的影响。目前最常见的手术方式主要是脑室-腹腔分流术和神经内镜下第三脑室底造瘘术。简单的说,一种是靠管子把脑室里面的“水”引流到腹腔,让腹腔去吸收;另外一种也就是常说的微创手术,是在脑子里面、第三脑室底部打个洞,让脑室里面的“水”换条路走,让脑子自己去吸收,不需要放管子。所有需要手术的不同病因引起的脑积水都可以用脑室-腹腔分流术来解决问题,但三脑室造瘘手术并不适用于所有的脑积水宝宝,尤其年龄小于1岁的宝宝,失败率很高。所以,需不需要做手术、做什么手术,都需要小儿神经外科医生根据不同宝宝的情况来制定选择最适合她的方案。

脑室-腹腔分流术的简图

脑积水的治疗效果好吗?

脑积水的结局取决于它的病因、发病时间与持续时间、是不是有相应的结构异常、手术后有没有出现并发症,比如说感染、分流管故障等。大部分脑积水宝宝的治疗效果都是比较好的。脑积水是可以治疗的,而且早发现早治疗,更有利于挽救宝宝的神经发育结局,长期影响还是非常大的。

脑积水做了分流手术要终身带着管子吗?需要更换管子吗?

分流管毕竟是异物,而且也会出现故障或者感染,所以部分家长会有拿掉管子的想法,那么这种时候,小儿神经外科医生则会根据宝宝的脑积水恢复情况,通过调节阀门的压力、结扎管子停止引流的方法来尝试是否能够取掉管子。当分流管出现故障或者随着生长发育、管子不够长了,这时候就需要更换或者延长分流管。

脑积水宝宝手术出院后需要注意哪些呢?

手术治疗的脑积水宝宝需要接受长期神经外科随访,一般术后3个月要进行影像学检查评估脑积水改善的情况以及脑室扩张的程度,放管子的宝宝根据复查的结果决定是否需要调节阀门的压力,让脑子里面的“水”流的快一点或者慢一点。做造瘘的宝宝则需要评估造瘘口是不是通畅,是否需要改成分流手术。只要随访影像学检查提示脑室大小稳定、父母或者监护人能够熟练的观察判断宝宝的表现是否正常,就可以将随访的间隔延长。

经过小儿神经外科医生仔细的评估,多多脑积水比较严重,年龄小,不适合三脑室造瘘,所以采用脑室-腹腔分流术进行治疗,手术过程很顺利,术后恢复也比较好,术后3个月复查脑积水比之前有好转了,目前他抬头的时间比之前延长了,坐着也比之前稳当了,看着多多的进步,家里人终于是稍微松了一口气,不过医生也交代了,这是一个长期的过程,需要定期规律随访。