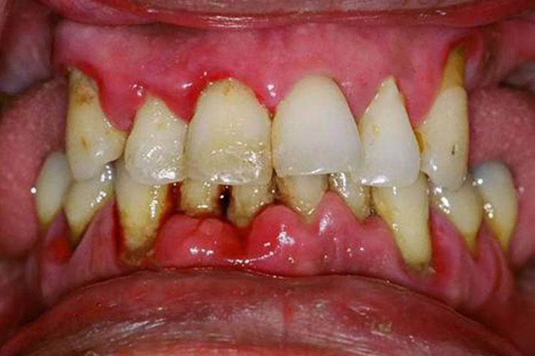
牙龈癌早期无明显症状,主要表现为溃疡、牙齿疼痛以及牙齿松动,患者多因此就诊而发现牙龈癌。
牙龈癌的发生可能与口腔卫生不良、不良义齿修复、癌前病变等因素有关。
症状
早期牙龈癌无明显症状,少数患者在口腔检查时偶然发现,多数患者因溃疡、疼痛、牙齿松动等症状就诊时发现。
浅表的溃疡可生长为菜花状或大小不等的肉芽粒状,表面糜烂、出血,生长较慢,可伴有疼痛。



由于黏骨膜与牙槽突附着甚紧,早期常侵犯牙槽突及颌骨,使骨质破坏,牙齿松动、脱落。
病因
牙龈癌的病因尚不清楚,可能与烟酒刺激、口腔卫生不良、不良修复体有一定关系,与牙龈的癌前病变如红斑、白斑也有一定关系,也有资料表明,牙龈癌与体内微量元素缺乏、机体免疫功能降低有关。
诊断
如出现不明原因的牙龈溃疡、牙齿松动及疼痛,应警惕牙龈癌,必要时需做活检,检查有癌细胞的存在即可确诊。
治疗
早期的牙龈癌因侵犯骨质,因此需行外科手术。一旦发生转移,应行治疗性颈淋巴清扫术。